Radiografia del torace

Immagine 1/2
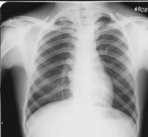
Radiografia del torace con proiezione postero-anteriore (radiografia convenzionale a film)