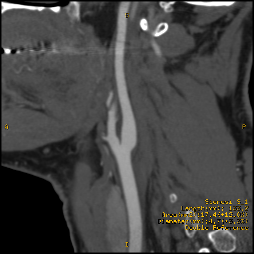
angio CT carotide

Immagine 1/9
Sezione sagittale